お知らせ /
ブログ
セラミック治療後の予後がとても綺麗でした!
こんにちは!
全身の健康を考えたオーダーメイド治療の歯科医院
高輪クリニック匠の衛生士 高田です。
患者様の3カ月検診・クリーニングのご予約日程が段々と年明けになってきており、今年もあっという間に終わってしまうんだろうな〜と少し寂しい反面、クリスマスや年末で美味しいものが沢山食べられる!と嬉しい気持ちにもなります☺︎
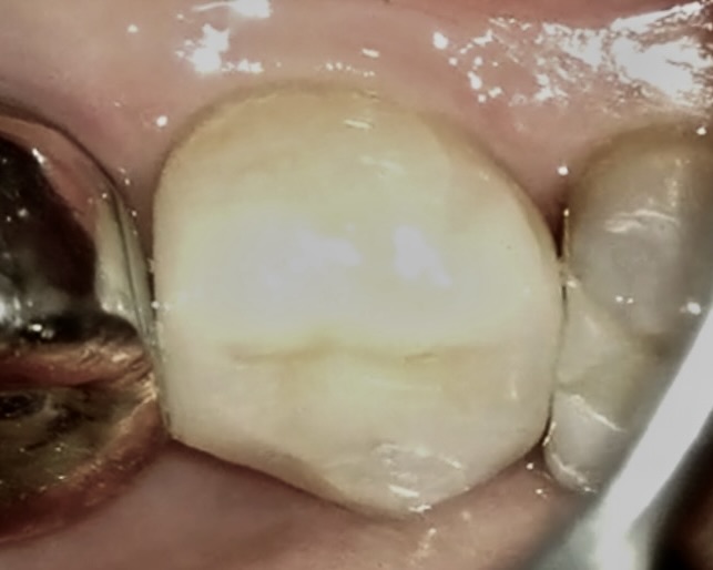
今回は匠先生でセラミック治療を受けた患者様の治療前
治療後
治療1年後の経過です
1年経過してもとても綺麗にお口の中で機能していました!
治療を終えたら全て良くなったと思い、検診・クリーニングから足が遠のいてしまいがちですが、治療が終わってからがとても大切です!!
治療後に噛み合わせを確認した時は問題がなくても、月日が経ち自身の歯がすり減り、どこかの歯が強く当たっていると、強く噛んでいる歯に負担がかかり、歯の根が割れてきてしまうなど不具合が出る可能性があります。 その為、今ある歯を長く使っていただくためにも定期的な検診が大切になってきます。
当院の検診では、プラーク汚れや歯石を落とすだけでなく、マイクロスコープを使用して新しい虫歯ができていないか、噛み合わせや被せ物の状態に問題ないかなどお口の中全体の状態も確認させていただいております! 長く自分の歯で美味しいご飯を食べましょう。


